Perito Criminal Federal - Área 14 - 2018
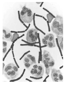
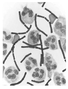
A figura precedente mostra o fluido cérebro-espinhal de um paciente com infecção bacteriana. Considerando essa informação e os múltiplos aspectos a ela relacionados, julgue o item a seguir.
Considerando-se a forma da bactéria e o fato de ela estar presente no fluido cérebro-espinhal, deve-se realizar prova de Gram nessa amostra para a confirmação da infecção por Neisseria meningitidis.
A figura precedente mostra o fluido cérebro-espinhal de um paciente com infecção bacteriana. Considerando essa informação e os múltiplos aspectos a ela relacionados, julgue o item a seguir.
Antraz, doença que já foi explorada como arma biológica, é causada por uma bactéria que apresenta a forma do microrganismo mostrado na figura.
A figura precedente mostra o fluido cérebro-espinhal de um paciente com infecção bacteriana. Considerando essa informação e os múltiplos aspectos a ela relacionados, julgue o item a seguir.
O resultado positivo para a presença de bactéria gram-positiva nesse fluido significa que a bactéria possui uma camada fina de peptidoglicano e uma membrana externa com lipopolissacarídeo, fosfolipídios e proteínas.
Considerando a figura precedente, que representa a diferenciação de linfócito T naive em linfócitos T efetores, julgue o item que segue.
A substância A pode ser representativa de um antígeno e a célula 1 pode ser representada por uma célula dendrítica.
Considerando a figura precedente, que representa a diferenciação de linfócito T naive em linfócitos T efetores, julgue o item que segue.
Os linfócitos T regulatórios, representados na imagem por Treg, são células capazes de modular a atividade da célula 1.
Considerando a figura precedente, que representa a diferenciação de linfócito T naive em linfócitos T efetores, julgue o item que segue.
Para gerar uma resposta imunológica do tipo Th1, a célula 1 sinaliza a célula 2 via MHC classe I.
Considerando a figura precedente, que representa a diferenciação de linfócito T naive em linfócitos T efetores, julgue o item que segue.
Ao contrário da célula 1, a célula 2 pode se diferenciar em plasmócito e secretar anticorpos para compor a imunidade humoral.
Considerando a figura precedente, que representa a diferenciação de linfócito T naive em linfócitos T efetores, julgue o item que segue.
No esquema mostrado na figura o microrganismo patogênico A pode ser corretamente representado por um fungo, e o B por uma bactéria intracelular.
Considerando a figura precedente, que representa a diferenciação de linfócito T naive em linfócitos T efetores, julgue o item que segue.
Nessa figura, o microrganismo patogênico C pode representar uma bactéria extracelular ou um fungo.
Acerca de sistema de gestão da qualidade, de validação de metodologias analíticas e dos requisitos técnicos da norma ABNT NBR ISO/IEC 17025:2017, julgue o item subsecutivo.
Em caso de método não normalizado, de método criado pelo próprio laboratório ou de situação de ampliação de método normalizado, é indispensável a validação de método.








